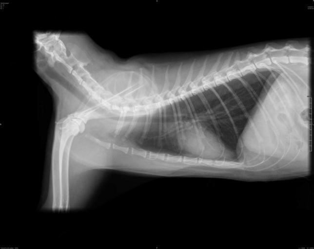
MAKE A MEME View Large Image Radiografia-lateral-gato.jpg en Lateral chest radiograph of a female domestic cat pt Radiografia lateral do tórax de um gato doméstico fêmea own AurelioAHeckert 1/4/2011 REGIÃO RADIOGRAFADA Tórax INCIDÊNCIA Latero-lateral LAUDO ...
View Original:Radiografia-lateral-gato.jpg (2928x2328)
Download: Original    Medium    Small Thumb
Courtesy of:commons.wikimedia.org More Like This
Keywords: Radiografia-lateral-gato.jpg en Lateral chest radiograph of a female domestic cat pt Radiografia lateral do tórax de um gato doméstico fêmea own AurelioAHeckert 1/4/2011 REGIÃO RADIOGRAFADA Tórax INCIDÊNCIA Latero-lateral LAUDO RADIOGRÁFICO Silhueta cardíaca dentro dos parâmetros radiográficos normais Silhuta pulmonar apresentando calcificação de parede bronquial processo senil Não há evidências de imagens radiográficas sugestivas de metástase pulmonar nas incidências em estudo Traquéia com calibre conservado em toda sua extensão Veia cava caudal e aorta descendente sem alterações radiográficas Cat bones Veterinary radiology
Terms of Use   Search of the Day